На вказану електронну адресу було надіслано повідомлення для підтвердження реєстрації
Коли епідемія коронавірусу досягне свого піку: відповідь вчених
- 169
Епідемія коронавірусу 2019-nCoV досягне максимального поширення в другій половині лютого, повідомили фахівці Лондонської школи гігієни і дослідження тропічних хвороб.
Згідно з даними математичної моделі, побудованої на основі відомостей про захворюваність, під час піку епідемії кількість хворих в китайському місті Ухань виросте ще на 5% від загальної кількості жителів, що становить близько 500 000 людей.
І ще: Блогер хотів прославитись на коронавірусі, але щось пішло не так
Фактично кожен двадцятий житель Уханя буде заражений коронавірусом, вважають вчені. Однак дослідники підкреслили, що точні терміни кульмінації епідемії спрогнозувати складно через невизначеність ситуації.
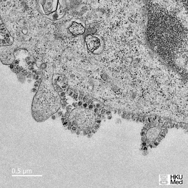
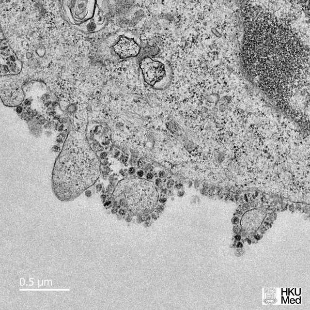
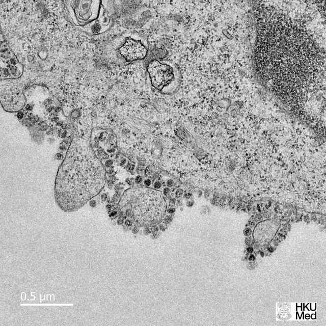
Про спалах пневмонії нового типу в китайському місті Ухань було оголошено в грудні 2019 року. Наразі кількість заражених досягає понад 37,5 тисячі людей, 2,6 тисячі людей змогли вилікуватися, 813 загинули.
Читайте також: Як виглядають легені, уражені коронавірусом: фотофакт
Цей матеріал має винятково інформаційний характер і не містить жодних порад, діагнозів чи висновків, що стосуються вашого здоров'я. Якщо вам потрібні встановлення діагнозу, консультація медика або лікування, зверніться до фахівця.
-
11:30Брітні Спірс потрапила до реабілітаційного центру після арешту за нетверезе водіння
-
11:00Як виростити комбучу вдома: перевірені способи, які дають результат без плісняви
-
10:30Їй стало дуже боляче, – Тоня Матвієнко розповіла, як дізналася, що у її мами рак
-
10:005 рослин, які врятують від комарів: що посадити біля будинку, щоб забути про укуси
-
09:00Як прибрати затхлий запах рушників після прання: простий спосіб, який справді працює
-
Українські патріотичні пісні: плейлист, який підіймає дух
-
05:30День прямих розмов і швидких рішень: що зірки обіцяють кожному знаку 15 квітня
- 14 квітня
-
22:38Як відмити сковорідку від старого нагару: простий лайфхак, який реально працює
-
21:22Яке свято відзначають 15 квітня: традиції, заборони і прикмети на цей день
-
20:35Великдень із сюрпризом – Тарас Цимбалюк потрапив у ДТП у Києві
-
19:00Чому чоловіки різко "гальмують" у стосунках – і це не завжди про байдужість
-
18:00Спека вбиває акумулятор швидше за мороз: водіям пояснили, як не залишитися без авто
-
17:00Чому кажуть "цап-відбувайло" – історія фразеологізму, яка здивує
-
16:00Як приготувати ідеальну смажену картоплю: прості секрети хрусткої скоринки
-
З Днем народження: топ 75 привітань у картинках, віршах, прозі та смс українською
-
15:00Лаванда цвістиме роками: як правильно застосовувати правило 8:8:8 для пишного куща
-
14:00Шаурма вдома без ризику: як приготувати соковиту страву, після якої захочеться добавки
-
13:00Навіщо класти мідний дріт у вазу з трояндами: простий трюк, який продовжить життя букету
-
12:00Що не можна робити у Світлий тиждень після Великодня: традиції кожного дня
-
11:00Як перевірити кліщів на одязі після прогулянки: 7 простих кроків, які врятують від укусу
-
10:00Чоловіки тікають після зближення: чому вони бояться кохання і раптово зникають
-
09:00Запах у холодильнику зникне за ніч: проста хитрість із таблетками, яку знають не всі
-
05:30Гороскоп на 14 квітня: думки стануть гострішими – але не всі знаки встигнуть скористатися
- 13 квітня
-
22:35Не маринад, а "золото": домашній оселедець, який смакує краще за лосось
-
21:35Салат з картоплі, яєць і черемші – проста вечеря, яка здивує смаком
-
10:30Їй стало дуже боляче, – Тоня Матвієнко розповіла, як дізналася, що у її мами рак
-
05:30День прямих розмов і швидких рішень: що зірки обіцяють кожному знаку 15 квітня
- 14 квітня
-
21:22Яке свято відзначають 15 квітня: традиції, заборони і прикмети на цей день
-
18:00Спека вбиває акумулятор швидше за мороз: водіям пояснили, як не залишитися без авто
-
16:00Як приготувати ідеальну смажену картоплю: прості секрети хрусткої скоринки
-
05:30Гороскоп на 14 квітня: думки стануть гострішими – але не всі знаки встигнуть скористатися
- 13 квітня
-
21:21Яке свято відзначають 14 квітня: традиції, заборони і прикмети на цей день
-
20:35Як пофарбувати паркан швидше: бюджетний лайфхак, який реально економить час
-
13:13Квітучі куточки України: куди варто поїхати у квітні 2026
-
09:38Обливаний понеділок: лайфхаки, як уникнути обливань
-
05:30Меркурій і Сатурн влаштують перевірку: три знаки Зодіаку 13 квітня відчують це першими
- 12 квітня
-
21:22Яке свято відзначають 13 квітня: традиції, заборони і прикмети на цей день
-
20:35Туристи в Європі роблять одні й ті самі помилки у транспорті – як їх уникнути
-
05:30Найсвітліший день року: що зірки підготували для кожного знака на Великдень 12 квітня
- 11 квітня
-
21:22Яке свято відзначають 12 квітня: традиції, заборони і прикмети на цей день
-
05:30Переддень Великодня – особливий день: детальний гороскоп на суботу 11 квітня
- 10 квітня
-
21:22Яке свято відзначають 11 квітня: традиції, заборони і прикмети на цей день
-
13:23Фото Євгена Малолєтки з наслідками російської атаки перемогло на World Press Photo 2026
-
10:10Вадику, попрощайся з усіма, – Полякова звернулася до чоловіка після скандального інтерв'ю
-
05:30Що принесе остання п'ятниця перед Великоднем: детальний гороскоп для всіх знаків Зодіаку
- 09 квітня
-
21:22Яке свято відзначають 10 квітня: традиції, заборони і прикмети на цей день
-
18:35Три знаки зодіаку вирвуться з чорної смуги вже після 9 квітня
-
10:30Не шикуємо, – Педан з дружиною розкрили свої місячні витрати та найдорожчу покупку
-
05:30Гороскоп на Чистий четвер 9 квітня: день, який змінить настрій перед Великоднем
- 08 квітня
-
21:22Яке свято відзначають 9 квітня: традиції, заборони і прикмети на цей день