На вказану електронну адресу було надіслано повідомлення для підтвердження реєстрації
Вчені дізналися як на мозок космонавтів впливають польоти
- 203
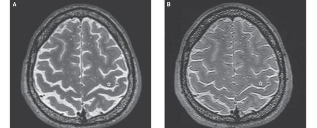
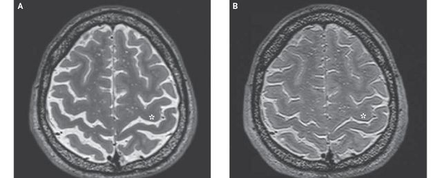
Вчені вже знають, що космічні польоти і тривале перебування в космосі серйозно впливають на здоров'я людей, зміни стосуються скелета, безлічі органів і мозку.
Дослідження було фінансовано NASA і воно торкнулося 34 космонавта. У кожного суб'єкта мозок був відсканований за допомогою функціональної магнітно-резонансної томографії двічі, до місії і після повернення на Землю. Результати сканування були надіслані нейрорадіологам для інтерпретації, при цьому жоден з фахівців не знав кому належать знімки.
Це цікаво: Учені виявили гігантську планету-монстра
З 18 космонавтів, які тривалий час перебували на МКС, у 17 були знайдені ознаки звуження центральної частини мозку, те ж саме було знайдено всього у трьох людей, які виконували короткострокові польоти. Загальний зсув головного мозку вгору виявили у 12 космонавтів з тривалими місіями і не виявлений у космонавтів, які виконували короткі польоти.
Ми не знаємо, чи будуть ці зміни погіршуватися зі збільшенням тривалості польотів, – говорить дослідник Донна Робертс з Медичного університету Південної Кароліни.
До цього вчені вже проводили дослідження на тему впливу космосу на тіло людини і результати кожного з них невтішні, проте, дослідники вважають, що якщо вивчити проблему досконало, то можна знайти і її рішення.
Читайте також: NASA показало випробування двигуна для освоєння космосу: видовищне відео
Цей матеріал має винятково інформаційний характер і не містить жодних порад, діагнозів чи висновків, що стосуються вашого здоров'я. Якщо вам потрібні встановлення діагнозу, консультація медика або лікування, зверніться до фахівця.
-
14:00Домашній мармелад за 60 хвилин: як приготувати ідеальний десерт із соку та желатину
-
13:00Розрив токсичних стосунків – чому так боляче: психологи пояснили несподівану реакцію
-
12:00Колода карт у ручній поклажі: чому звичайна річ може затримати вас в аеропорту
-
11:00День матері 2026 в Україні: чому дата щороку змінюється і коли вітати мам
-
10:00Насипте це на брудну сковорідку – і жирний нагар зійде як по маслу: хитрий трюк від досвід
-
Українські патріотичні пісні: плейлист, який підіймає дух
-
09:00Психологія бідності: 10 речей, на які заможні люди ніколи не витратять ні копійки
-
05:30Гороскоп попереджає: 5 травня відкриє вікно можливостей – і воно не буде відчиненим довго
-
02:20Що побажати Ірині на іменини: найтепліші привітання для найдорожчої людини
- 04 травня
-
22:00Водіїв попередили – за брудні чи закриті номери можна отримати штраф до 5100 грн
-
21:22Яке свято відзначають 5 травня: традиції, заборони і прикмети на цей день
-
21:00Побачення після розлучення – як почати нове життя і не наробити старих помилок
-
20:00Токсична мама – як розпізнати небезпечні моделі стосунків і не зламати собі життя
-
19:35Мадонна та Сабріна Карпентер розривають чарти з новим хітом Bring Your Love
-
З Днем народження: топ 75 привітань у картинках, віршах, прозі та смс українською
-
19:00Маринована морква, яку з’їдають швидше за основну страву – простий рецепт
-
18:10"Диявол носить Прада 2" тріумфує в прокаті: сиквел уже зібрав понад 230 мільйонів доларів
-
18:00Ці знаки Зодіаку назвали найменш надійними друзями – перевір, чи є твій у списку
-
17:15LELÉKA вирушила до Відня на Євробачення-2026: артистку проводжали з Києва
-
17:00Один простий звичний ритуал – і сон стає кращим: що радять вчені
-
16:10Анастасія Оруджова офіційно покинула "Квартал 95" після 8 років роботи
-
16:00Псуєш постіль і навіть не підозрюєш – 5 помилок під час прання, які роблять майже всі
-
15:00Лише один дешевий засіб врятує картоплю: як позбутися колорадського жука без хімії
-
14:00Як приготувати домашні нагетси як у кафе: 5 секретів хрусткої скоринки та соковитого м’яса
-
13:00Шкіра “втомилась” від стресу: що реально допомагає повернути сяйво обличчю
-
05:30Гороскоп попереджає: 5 травня відкриє вікно можливостей – і воно не буде відчиненим довго
- 04 травня
-
21:22Яке свято відзначають 5 травня: традиції, заборони і прикмети на цей день
-
21:00Побачення після розлучення – як почати нове життя і не наробити старих помилок
-
19:35Мадонна та Сабріна Карпентер розривають чарти з новим хітом Bring Your Love
-
17:15LELÉKA вирушила до Відня на Євробачення-2026: артистку проводжали з Києва
-
16:00Псуєш постіль і навіть не підозрюєш – 5 помилок під час прання, які роблять майже всі
-
05:30Понеділок з подвійним дном: цим знакам Зодіаку початок тижня принесе несподіване відкриття
- 03 травня
-
21:22Яке свято відзначають 4 травня: традиції, заборони і прикмети на цей день
-
10:10Леді Гага, Дуа Ліпа, Майлі Сайрус: вийшов саундтрек до фільму "Диявол носить Прада 2"
-
05:303 травня перевіряє стосунки: який знак Зодіаку витримає, а який – ні
- 02 травня
-
21:22Яке свято відзначають 3 травня: традиції, заборони і прикмети на цей день
-
05:30Перші вихідні травня вирішують багато: перевірте, що зірки приготували саме вам
- 01 травня
-
21:22Яке свято відзначають 2 травня: традиції, заборони і прикмети на цей день
-
05:30Травень відкриває карти: астролог назвав знаки, яким перший день місяця змінить усе
- 30 квітня
-
21:23Яке свято відзначають 1 травня: традиції, заборони і прикмети на цей день
-
13:10Греція на вашій кухні: простий рецепт пирога "Спанакопіта" зі шпинатом і сиром
-
10:10"Ми неймовірно щасливі": Наталія Могилевська розповіла про поповнення у родині
-
09:10У травні буде кілька хвиль магнітних бур: чи варто очікувати на сильні коливання
-
05:3030 квітня – день закриття: зірки вимагають завершити те, що почали
- 29 квітня
-
21:21Яке свято відзначають 30 квітня: традиції, заборони і прикмети на цей день
-
20:55Наталія Бучинська і Катерина Бужинська помирилися після 10 років конфлікту та готують дует
-
17:10Зміниться усе: ці 4 знаки Зодіаку отримають разючу звістку вже на початку травня
-
05:30Гороскоп на середу: не відкладайте на травень те, що можна закрити сьогодні
- 28 квітня
-
21:22Яке свято відзначають 29 квітня: традиції, заборони і прикмети на цей день
-
19:15Хто коментуватиме півфінали та гранд-фінал Євробачення-2026 в Україні