На вказану електронну адресу було надіслано повідомлення для підтвердження реєстрації
У Китаї розповіли про ускладнення у людей, що здолали коронавірус
- 346
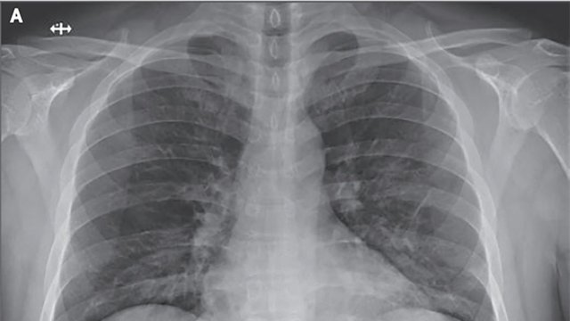
Пацієнти, які вилікувалися від смертельної коронавірусної інфекції можуть страждати від погіршення функції легень і задухи при швидкій ходьбі.
Фахівці зробили висновки про погіршення здоров'я після коронавірусу, ґрунтуючись на результатах 12 пацієнтів.
І ще: Карантин у Києві посилено: які заклади закривають, а що буде працювати далі
Як повідомив глава центру інфекційних захворювань лікарні Принцеси Маргарет Оуен Цзен, двоє або троє з них вже не здатні робити те, що могли робити раніше. "Вони задихаються при швидкій ходьбі. У деяких пацієнтів може спостерігатися зниження функції легень на 20-30% (після одужання)", – йдеться в повідомленні.
За словами Цзен, ці пацієнти пройдуть подальше обстеження, щоб визначити, наскільки у них ослаблена легенева функція, також їм буде призначена фізіотерапія для зміцнення легенів. Аналіз результатів комп'ютерної томографії легенів дев'яти пацієнтів, які проходили лікування, виявив ознаки, схожі з симптомом "матового скла", що свідчить про пошкодження внутрішніх органів.
Нагадуємо, як правильно мити руки:
Читайте також: З'явилася онлайн-карта моніторингу коронавірусу в Україні
Цей матеріал має винятково інформаційний характер і не містить жодних порад, діагнозів чи висновків, що стосуються вашого здоров'я. Якщо вам потрібні встановлення діагнозу, консультація медика або лікування, зверніться до фахівця.
-
12:10Європу накриє потужна хвиля спеки: у кількох країнах прогнозують температурні рекорди
-
11:10Катя Осадча чесно відповіла, чи готовий її 23-річний син повернутися в Україну
-
10:10Charli XCX випустила новий трек SS26 та влаштувала дефіле у кліпі
-
05:30Неділя для близьких і для себе: зірки кажуть, що сьогодні головне – не справи, а люди
- 23 травня
-
23:004 знаки Зодіаку отримають шанс змінити життя – кому Всесвіт підкине удачу вже 24 травня
-
Українські патріотичні пісні: плейлист, який підіймає дух
-
22:30Що найбільше бісить українців у заторах – звички водіїв, які дратують усіх навколо
-
21:30Чому люди перестають відповідати на голосові повідомлення
-
21:23Яке свято відзначають 24 травня: традиції, заборони і прикмети на цей день
-
20:40Чому пральна машина починає неприємно пахнути та як повернути їй свіжість
-
19:30Сода не врятує – МОЗ спростувало популярні "лікувальні" міфи з інтернету
-
18:20П’ять знаків Зодіаку зірвуть великий куш цими вихідними – кому доля готує прорив
-
17:40Слойки зі шпинатом та сиром – проста закуска, яку з’їдять ще гарячою
-
15:00Кабачки дадуть шалений урожай: коли та як правильно садити овоч у відкритий ґрунт
-
З Днем народження: топ 75 привітань у картинках, віршах, прозі та смс українською
-
14:00Швидкий медівник із вишнею та горіхами: як приготувати ніжний торт без довгого випікання
-
13:00Підводка додасть віку: яку помилку в макіяжі очей найчастіше роблять жінки після 50
-
12:00Спека в квартирі стане меншою: як охолодити житло без кондиціонера у найгарячіші дні
-
11:00Павуки в домі можуть бути корисними: чому не варто одразу позбуватися маленьких "сусідів"
-
10:00Популярна весняна квітка може вбити домашнього улюбленця: чому конвалія така небезпечна
-
09:01На воді і на суші – завжди на передовій: Найкращі привітання з Днем морської піхоти
-
09:00Роками користувалися неправильно: експерти пояснили, коли треба наносити дезодорант
-
05:30Гороскоп на суботу: яким знакам цей день принесе несподівані новини
- 22 травня
-
21:22Яке свято відзначають 23 травня: традиції, заборони і прикмети на цей день
-
15:00Як вибрати горщик для орхідеї: помилки, через які квітка перестає цвісти
-
10:10Charli XCX випустила новий трек SS26 та влаштувала дефіле у кліпі
-
05:30Неділя для близьких і для себе: зірки кажуть, що сьогодні головне – не справи, а люди
- 23 травня
-
21:23Яке свято відзначають 24 травня: традиції, заборони і прикмети на цей день
-
05:30Гороскоп на суботу: яким знакам цей день принесе несподівані новини
- 22 травня
-
21:22Яке свято відзначають 23 травня: традиції, заборони і прикмети на цей день
-
13:00Скандинавські шари підкорили тренди: чому всі обирають цю стрижку для природного об’єму
-
09:00За якої температури прати кухонні рушники: помилка, через яку вони починають смердіти
-
05:3022 травня краще не гнатися за швидкістю – удача буде на боці терплячих
- 21 травня
-
21:21Яке свято відзначають 22 травня: традиції, заборони і прикмети на цей день
-
13:10Які фільми схожі за вайбом на "Верхівковий хижак": у мережі поділилися добіркою
-
10:10На Євробаченні розгорівся скандал через вирізаний виступ Сердючки: Данилко відреагував
-
05:3021 травня відкриває новий астрологічний сезон – і для деяких знаків це справжній перелом
- 20 травня
-
21:21Яке свято відзначають 21 травня: традиції, заборони і прикмети на цей день
-
17:10"Ми різні": Ауріка Ротару вперше за довгий час висловилася про сестру
-
13:00Не робіть так під час прибирання: чому гаряча вода лише псує підлогу
-
10:00Коли буде День Святого Духа і Петра і Павла: церковний календар на червень на щодень
-
05:30Не відкладайте на завтра: 20 травня зірки дають останній шанс завершити розпочате
- 19 травня
-
21:23Яке свято відзначають 20 травня: традиції, заборони і прикмети на цей день
-
17:15У Києві хочуть підвищити проїзд до 30 гривень: коли можуть запровадити нові тарифи
-
17:00Червень змінить правила гри: зірки назвали знаки, яких чекає найсильніший місяць року
-
10:10LELÉKA повернулася до Києва після Євробачення-2026: що планує робити далі
-
05:30Зірки назвали знаки, яким 19 травня принесе несподіваний поворот
- 18 травня
-
21:23Яке свято відзначають 19 травня: традиції, заборони і прикмети на цей день
-
05:30Не розганяйтеся сьогодні: 18 травня нагороджує тих, хто діє точно, а не швидко
- 17 травня
-
21:22Яке свято відзначають 18 травня: традиції, заборони і прикмети на цей день